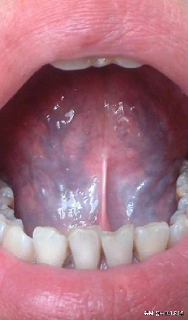
快看你的舌苔是不是這樣?
淤血會導致什麼疾病?
淤血問題,如果不注意防微杜漸,發展到最後往往都是比較致命的問題。
淤血會導致的第一種常見病是腫瘤。
心有多大,才會說出腫瘤是常見病啊。
然而,現實就是這樣,腫瘤、癌症真的是隨處可見了,這個大家心裡都很清楚,不必多言了。
我曾想,如果我們人生大限到了,要怎麼死才會舒服一些,那一定不要長腫瘤。
因為一旦得了腫瘤,很多人會一天二十四小時感受到疼痛,疼得你無法睡眠。
正常人是感受不到疼痛的,從醫學分類上講是零級,然而大部分癌症患者,會到5-6級疼痛,甚至逐步發展到8-9-10級疼痛,疼到你一天二十四小時無法入睡,這跟商紂王發明的炮烙之刑沒有區別,炮烙之刑可能幾分鐘完事,而癌痛卻長達幾個月。
為什麼現代人多癌症?癌症為何又會造成劇痛?
在中醫中講癌症屬於“症瘕積聚”,又叫做“巖”,是一個不斷積聚的過程,氣不斷的積聚,散不開,流動不了,最後就會積累成堅硬的東西,這是癌症的基本病理。
就像很多人不刷牙,這些食物的碎屑會慢慢在細菌的作用下變成堅硬的石頭,從食物到石頭,當然不是一朝一夕就能形成的,你要懂得及時清除就沒事。
而淤血就像管道中的淤泥,它會造成氣血流動性減慢,流得慢了,就會加速積聚,所以淤血是癌症的溫床,雖然淤血本身不是癌,但它可是致癌的危險因素。
淤血會導致的第二種常見病是心梗、腦梗。
腦梗、心梗也是隨處可見,很多中年人,才五十出頭,結果睡了一覺,第二天一早發現半身偏癱了,這是什麼原因呢?
很大一部分原因是淤血導致的,淤血就像管道里的泥沙,泥沙把管腔堵塞,讓血液不能正常通行,那麼該血管負責的那一片組織細胞就會缺血缺氧,如果這根血管正好阻塞在大腦,那麼腦細胞就會因缺氧而變性壞死。
大腦的一個區域死了,它就不能支配你的神經,你的腿腳就不能運動,你的語言就會障礙,這不就癱瘓了嘛。
心梗也是如此,心臟本身也是肉長的,凡是肉,都需要氣血,負責給心臟提供氣血的血管叫做冠狀動脈,如果淤血恰好阻擋在冠脈,造成心肌得不到氧氣和營養,那麼就會發生心梗,也會造成劇烈疼痛,正如中醫所說“不通則痛”。
如果發生腦梗,造成生活不便,中醫常用的水蛭,又叫螞蟥,善於吸血,中醫就利用它的這個習性,讓它來幫忙“吸掉”淤血,看似荒誕,其實飽含科學依據,現在科學研究發現水蛭體內有水蛭素,是目前自然界中最強的抗凝劑,可以讓血液恢復流暢狀態。
淤血會導致的第三種常見病是失眠、健忘。
很多人失眠,吃酸棗仁湯不管用,其實,有一個型別的失眠是淤血導致的。
因為睡覺是一個陽氣入陰的過程,休息時,有一部分不用的血液要回流到肝臟,肝魂(肝的陽氣)就在這些血液中沉潛,陽氣在血液裡潛底,人就睡著了。
如果體內淤血過多,造成血液流速減緩,遲遲到不了肝臟,那麼陽氣就沒法沉潛,它只能浮在外面,這種情況造成的失眠,就得活血化瘀。
淤血還會導致健忘,這是因為淤血多了,會阻礙新鮮血液供養大腦,造成健忘。《傷寒論》中將這種情況稱之為“喜忘”,所以老是忘事的人要注意了,很可能體內有淤血。
淤血導致的第四種常見病是女人的面板粗糙、乾燥、角化、長斑。
很多女人嫌棄自己面板粗糙、角化嚴重、長斑,其實,這很大程度上與淤血有關。
因為淤血阻塞,氣血就不能滋養你的面板,面板細胞代謝的垃圾、毒素也不能順利透過血液排洩出去,結果就是面板中毒,自然它就乾燥、粗糙、角化、長斑。
關於這點,張仲景在《金匱要略》裡稱之為肌膚甲錯,本質仍然是淤血問題。
是什麼原因導致淤血?
淤血的危害大家看了,肯定都會倒吸一口涼氣,那麼問題來了,淤血是如何形成的呢?
從中醫角度來說,有三大原因會導致血管淤血。
第一個導致淤血的原因是不良情緒,氣滯導致淤血。
為什麼這麼說呢?因為中醫裡有一句非常重要的話叫做“氣為血之帥”、“氣行則血行”。
也就是說,血液要想在血管裡通暢地執行,必須要有充足的氣給它一個推動力,元氣充足,血液才能流暢執行,如果氣亂、氣虛,都會導致血液執行出現故障而成為淤血。
那麼啥叫氣亂呢?氣亂,又可以叫做氣逆,就是氣執行的方向出現錯誤了,本來它推著血液往北走,結果現在它犯渾,自個兒往南跑,這不是給血液隊伍添亂嘛。
生氣是導致氣逆的重要原因,很多人吵架發怒的時候,感覺胸膛要炸開了,整個胸膛都脹悶得難受,這就是氣逆導致的,本來應該有序行進的氣,因為你的暴怒而逆亂,全部逆行到胸部,氣逆則血逆,氣血都在身體逆亂了,你能好受得了嗎?氣血逆亂了,還想通暢執行嗎?不可能呀,結果只能是鬱結在一塊。
古代中醫說:七情內起之鬱,始而傷氣,繼必及血!
其實,人過了三十歲,就不要生氣了,必須要修心養性,修到沒有什麼能夠讓你生氣,修到你的心可以隨時化解烏煙瘴氣的亂糟糟的瑣事,樂觀開朗、積極向上、克服偏執,是人生的一大課題,只有意識到這個問題你才會改變自己,意識不到,只能是任性到底,那就比較悲劇。
除了生氣導致氣滯血瘀,還有一種是氣虛導致血瘀。
氣沒有力量推動血液運行了,血液就會停留,比如有些人有心臟無力、心臟停跳,都會讓血液執行無力,這個就得調整心臟。《傷寒論》中的炙甘草湯,就是專門治療心悸動、脈結代的藥方,所謂的脈結代,其實就是心氣虛損,不能推動血液運行了,這種人不但舌底有鬱絡,整個舌面也都發青,炙甘草湯裡面有人參,人參可以補氣,可以增加血行的力量。
導致血瘀的第二大原因是受寒。
好的中醫,都不建議你暴露在寒冷的條件下,不管是冰鎮啤酒還是冬天露腿或是寒涼食物,都要儘量遠離,適可而止。
為什麼呢?因為《黃帝內經》在描述氣血的習性時說過一句話影響深遠:寒則澀而不流,溫則消而去之。
大家都知道,河裡的水在冬天是結冰的,結了冰就不會流淌了。
人與天地相應,氣血想要流動順利,也不喜歡寒冷,白居易先生有詩云:冰泉冷澀弦凝絕,泉水一旦結冰了,就會冷凍凝澀,失去生機了。
何況,物理學定律可是十分明確地告訴我們:熱脹冷縮。
血管受涼也會收縮,管子細了,當然更容易堵,這就是為什麼冬天很多老年人容易得心梗的原因。
然而有些西醫,為了流量,這些常識都不管不顧,硬說什麼冷水無罪,甚至還建議人喝冷水,真是無知無畏。
中醫讓你喝溫水,你喝了絕對不會出任何問題,而某些西醫為了自己一己之利鼓吹喝冷水,有些人喝了絕對會出問題,你一定要辨別清楚。
導致淤血的第三大原因是飲食過於肥甘厚膩,換句話說,吃得太好、太油容易阻塞血管導致淤血。
現在我們都很關注血脂問題,如果一個人吃肉太多,吃油太多,就會導致血液中的甘油三酯堆積,這些甘油三酯會沉積在血管壁上,造成血管斑塊、管道狹窄、血流減緩。
俗話說病從口入,很多人從一個翩翩少年吃到腦滿腸肥,大腹便便,這其實是一步步走向危險的深淵,所以不要吃得太好,適量吃肉補充蛋白質,最後還得靠蘿蔔青菜保平安。
怎麼才能活血化瘀
淤血危害很大,它會導致癌症、會導致冠心病、會導致腦梗、會損害面板、會損害記憶力、睡眠。
不要等淤血的危害全面爆發了你才想起治療,說實話,腫瘤一旦形成,再想治好,即便是最頂級的醫生都感到很難。
就像我開頭舉的例子:牙結石很硬,你很難除掉,但是若平時知道勤刷牙,它是不會變成石頭的,正所謂功夫在平時。
平時注意用這些方法活血化瘀,就能令淤血逐漸消除。
也可以食用些活血化瘀的食材比如:茄子,蘿蔔、山楂等,也可以使用下活血的藥材,比如丹參,三七等。如果比較嚴重的話,可以在醫師辯證下使用些活血化瘀方劑,如桂枝茯苓丸,丹七片等。
