焦亡大家都聽說過,也叫細胞炎症性死亡。由細菌/病毒/真菌等感染引起的一些疾病通常會伴隨發生細胞焦亡。由於細胞焦亡跟免疫炎症有關,因此在基礎研究中,常用巨噬細胞作為焦亡誘導(LPS+ATP)的工具細胞模型。
想要做一篇好的焦亡研究,避免不了要做巨噬細胞的原代分離和焦亡誘導,所涉及的手段就會包括:流式多因子標記並分選原代巨噬細胞;流式雙染及電鏡檢視細胞膜破裂情況;以及QPCR/WB/IF等手段對焦亡相關因子Caspase1、NLRP3、IL-1β、IL-18的表達檢測。
今天小編就帶大家來讀一篇焦亡研究的經典文獻。2020年發表在《J Crohns Colitis》期刊上。文章標題為:
Mincle/Syk signaling promotes intestinal mucosal inflammation through induction of macrophage pyroptosis in Crohn's disease
IF:9.071,中科院:一區。
研究總括
克羅恩病(Crohn’s Disease)最早在1932年有國外學者克羅恩首先描述,1973年世衛組織第一次把它命名為克羅恩病。克羅恩病是一種原因不明的腸道炎症性疾病,在腸道的任何部位均可發生,多發於末端迴腸和右半結腸,病程多遷延,易反覆發作,不易根治。本病的病因至今尚不明確。
有研究表明,Mincle(巨噬細胞誘導的C型凝集素)在腦、肝臟等不同組織中起到促炎的作用,是一個負責轉導炎症訊號的傳導器。克羅恩病作為一種炎症性腸道疾病,Mincle在此疾病中是否發揮了關鍵性的作用呢?那麼,是透過什麼機制發揮作用的呢?
名詞解釋
(1)Mincle:巨噬細胞誘導的C型凝集素,可以識別一種由死亡細胞釋放的內源性配體,引發細胞因子和趨化因子的產生,並促進中性粒細胞富集到受損組織。
(2)SAP130:剪下體相關蛋白130,是一種潛在的克羅恩病生物標記物,在組織損傷中可以從細胞核釋放到外部環境,引發炎症反應。
(3)TDB:Trehalose-6,6-dibehenate,可啟用Mincle加劇炎症反應。
(4)EpCAM:上皮細胞粘附分子,用於標記上皮細胞。
(5)Piceatannol:白皮杉醇,是蛋白質酪氨酸激酶Syk的選擇性抑制劑。
研究結果
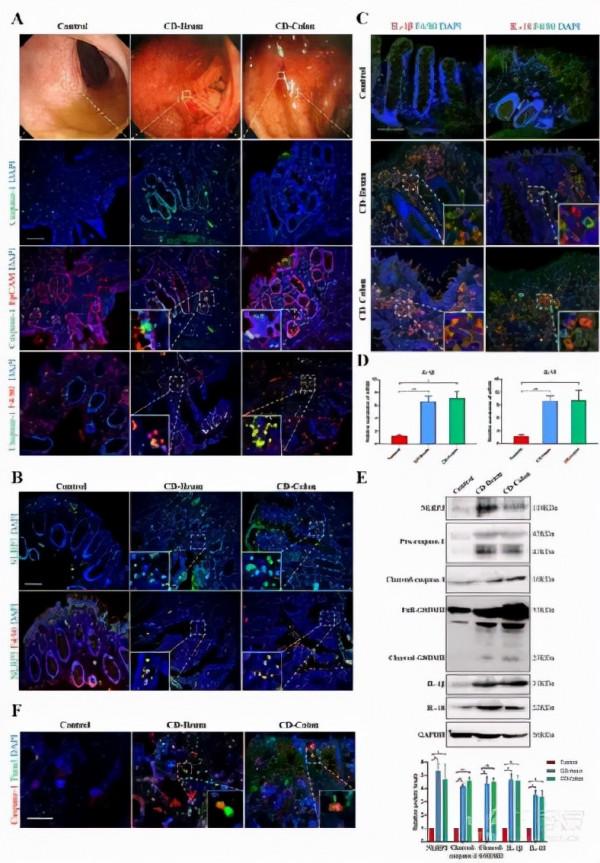
姿勢3.1 巨噬細胞焦亡發生在克羅恩疾病中
Fig1. NLRP3/Caspase-1介導的巨噬細胞焦亡在腸內被啟用
作者研究發現,透過IF(免疫熒光)檢測結果顯示,與對照組相比,CD患者的結腸和迴腸粘膜固有層巨噬細胞中焦亡相關因子Caspase1、NLRP3、IL-1β、IL-18的表達顯著上調(圖A-C);進一步採用QPCR(實時熒光定量QPCR)和WB(蛋白質免疫印跡)檢測,分別從轉錄水平和蛋白水平進行驗證,發現在CD患者的結腸和迴腸組織中焦亡相關指標leaved-Caspase1/Caspase1、cleaved-GSDMD/GSDMD、NLRP3、IL-1β、IL-18的表達均顯著上調(圖D-E);此外,在CD患者炎症黏膜中TUNEL和Caspase-1的共表達明顯高於正常結腸區域(圖F),以上結果說明在CD患者的結腸和迴腸中細胞焦亡水平顯著上調。
姿勢3.2 Mincle在CD患者結腸中表達上調
Fig2. CD患者腸粘膜中Mincle的表達上調
根據文獻報道,SAP130啟用的Mincle訊號通路可促進肝、腦等組織的炎症反應,那麼在CD患者中是否存在Mincle訊號通路的啟用呢?HE染色可以看出CD患者結腸組織中出現大量的炎性細胞浸潤;SAP與Phallodin的熒光共定位結果說明,SAP130出現了明顯的核位移。在對照組中SAP130主要表達在細胞核內,而在CD患者組SAP130從細胞核釋放到外部,大量聚集在粘膜固有層免疫細胞表面。Mincle、p-Syk、F4/80熒光共定位結果說明,巨噬細胞是Mincle、p-Syk的主要來源;與此同時,作者還發現在CD患者結腸組織SAP130、Mincle及下游蛋白p-Syk表達升高(圖A-C);此外,在同一CD患者結腸、迴腸組織中,炎症區Mincle的表達要明顯高於非炎症區。綜合以上結果說明在CD患者中Mincle訊號通路被啟用。
姿勢3.3 Mincle在小鼠腸炎模型中表達上調
Fig3. Mincle訊號通路在兩種結腸炎實驗模型中被啟用
接著作者分別採用DSS和TNBS構建小鼠腸炎模型,在DSS腸炎模型小鼠結腸粘膜固有層中,SAP130出現明顯的核位移,且結腸組織中SAP130、Mincle及下游蛋白p-Syk的表達均上調(圖A-C);並且作者發現SAP130、Mincle的表達水平與DSS濃度增加引起的結腸炎的嚴重程度相關(圖D);在TNBS腸炎模型中檢測結果與DSS模型一致(圖E-G);
姿勢3.4 Mincle基因缺失可以抑制焦亡緩解DSS誘導的結腸炎
Fig4. Mincle缺乏減輕急性dss誘導的結腸炎
上述圖2和圖3中已證實,在炎症結腸組織中Mincle的表達上調,那Mincle的缺失會對腸炎產生什麼樣的影響呢?因此,作者選擇Mincle基因敲除(Mincle-/-)構建急性腸炎模型,並且與野生型小鼠進行對比分析。DSS造模後,與野生型小鼠相比,Mincle-/-小鼠DAI評分顯著下調(圖A),生存率增加(圖B),腸炎炎症減少,結腸長度增加(圖C-D)。為了進一步評估腸道炎症程度,IHC和流式分析結果顯示,Mincle-/-小鼠結腸粘膜固有層中CD45+白細胞,CD3+T細胞、中性粒細胞以及CD68+巨噬細胞浸潤減少,炎症程度降低(圖E-F);此外,WB和QPCR結果顯示Mincle-/-小鼠結腸組織中焦亡相關蛋白表達均下調(圖G)。以上結果說明Mincle基因的缺失可以抑制焦亡,從而緩解DSS誘導的腸炎。
姿勢3.5 啟用Mincle能夠加劇DSS誘導的結腸炎
Fig5. TDB加劇DSS誘導的急性腸炎
為了進一步證實Mincle的促炎作用,作者研究了Mincle外源性啟用劑TDB是否會加重DSS誘導的急性腸炎。與未經過TDB處理組相比,TDB處理組炎症程度加劇,並導致生存率下降、結腸長度縮短(圖A-C);在粘膜固有層中炎性細胞浸潤加劇、炎症程度上升(圖F-H),細胞焦亡程度加劇(圖E,I)。以上結果說明,Mincle啟用後,細胞焦亡增加,從而加劇了DSS誘導的結腸炎。
姿勢3.6 巨噬細胞的Mincle訊號在促進腸道炎症中起著重要作用
Fig6. 巨噬細胞中Mincle訊號通路在急性結腸炎中起到重要作用
作者透過之前的熒光共定位結果說明,巨噬細胞是Mincle的主要免疫細胞。為了進一步驗證Mincle在巨噬細胞中的作用,作者先從WT小鼠和Mincle-/-小鼠中分離得到了骨髓源性原代巨噬細胞(BMDM),之後分別用LPS、TDB處理細胞。結果證明,單獨劑量的TDB或者LPS誘導後,BMDM細胞中IL-1β和IL-18會出現上調,但上調比例不高;TDB和LPS聯合用藥後,細胞中IL-1β和IL-18的表達出現極高比例的上調,而這種誘導作用在Mincle-/-小鼠的BMDM細胞中被抑制(圖A-B);WT-BMDM在LPS和TDB刺激下,Mincle訊號被啟用,Mincle下游蛋白p-Syk以及焦亡相關蛋白NLRP3、cleaved Caspase-1和cleaved GSDMD的表達升高,但是這種情況在Mincle-/--BMDM細胞中被抑制(圖C-E);透過透射電鏡觀察細胞形態和膜孔形成情況,WT-BMDM經TDB處理後,細胞膜孔形成,細胞內容物滲漏,而Mincle-/-缺失時這種情況明顯緩解(圖F)。同時作者使用Syk抑制劑處理WT-BMDM細胞,結果證明Mincle通路被抑制後,細胞焦亡水平下調(圖G-H)。綜上所述,Mincle訊號在免疫細胞,特別是巨噬細胞中,可以透過誘導焦亡調節炎症反應。
文章的結果到這裡就全部介紹完了,我們對全文進行一下總結:
首先,分別從臨床水平和動物水平上驗證在炎症性結腸組織巨噬細胞中Mincle表達上調,並且細胞焦亡水平顯著上升(Fig1-Fig2);
其次,為驗證Mincle對細胞焦亡的作用機制,使用Mincle-/-小鼠和Mincle啟用劑進行結腸炎造模處理,結果證明Mincle的缺失能夠抑制細胞焦亡從而緩解結腸炎,Mincle被啟用後結果正好相反(Fig3-Fig4);
最後,從WT和Mincle-/-中分離BMDM細胞進行檢測,結果證明在巨噬細胞中啟用Mincle可以誘導細胞焦亡發生。
