如何挑選兒童玩具?這是新手爸爸媽媽們最愛問的一個問題。有的育兒專家建議挑選促進孩子身心發育的“益智玩具”,有的育兒專家會建議挑選無甲醛、無重金屬的“綠色玩具”,結合臨床,給大家介紹一下兒科醫生們常見的三類“急診玩具”。
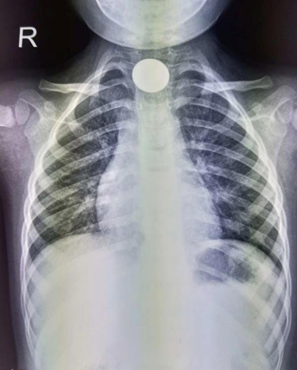
1、最常見的“急診玩具”——硬幣。
作為名副其實的“吞金獸”,硬幣一直是小朋友們的最愛,常年高居兒童呼吸道和消化道異物榜首。這主要是因為孩子的咽喉部保護性反射發育不完善,當孩子將硬幣、堅果、玻璃珠、紐扣電池、玩具零部件等這種體積小,且形狀圓頓的玩具含在嘴裡時,孩子的咽喉部不能有效阻擋異物。這類異物如果進入呼吸道,可引起呼吸困難或反覆肺部感染,從而出現氣促、發熱、咳嗽等症狀。若進入消化道,多可自行排出,但小部分可停留在消化道狹窄處,導致區域性粘膜損傷或消化道梗阻,甚至破裂穿孔,從而出現頑固性惡心、嘔吐、胸痛、腹痛、腹脹等症狀。
2、最危險的“急診玩具”——磁力珠。
磁力珠又稱巴克球,因為帶有磁性,可根據孩子的想象組合成各種各樣的造型,有助於開發孩子的創造力和空間思維能力,因此曾風靡一時。但由於磁力珠色彩鮮豔且形狀圓潤,很多孩子易將其當作糖豆吞下。與糖豆不同的是,這一顆小小的磁力珠磁力高達4000高斯(國際規定玩具磁力上限為50高斯)。這些磁力強大的磁力珠進入消化道後,磁力珠之間會相互吸引,導致胃腸道貼在一起進而缺血壞死,危及患兒生命。隨著近年來相關醫學科普的推廣,磁力珠已慢慢淡出兒童玩具市場,但是仍可在一些益智玩具上看到磁鐵的零部件,我們門診、急診中也會接診各種把磁鐵類零部件誤吞下的患兒,這需要引起爸爸媽媽們的重視。
3、最意外的“急診玩具”——筷子。
孩子們天生好奇心強,只要他們能夠到的物品幾乎都是他們的玩具,筷子作為最常見的生活日用品,也成了孩子們經常把玩的玩具之一。對於學齡前期的幼童而言,由於運動神經發育不完善,孩子們走路不穩易跌倒。此時,如果孩子們把筷子含在嘴裡或拿在手裡,筷子會透過跌倒時的對沖力從孩子臉部最柔軟的地方(如眼睛、口腔上顎等)直接插入大腦,危及生命安全。實際上,類似筷子這種看似無害的“急診玩具”其實還有很多,比如褲子上的拉鍊、玩偶身上的繩子、工具箱裡的鉗子螺絲等等。
從上述三類“急診玩具”不難發現,它們大多是生活中的日用品,嚴格意義上講,並不能稱為玩具。但正是這些意料之外的玩具,往往成為了家長們的監管盲區。所以,當我們在討論該怎麼挑選兒童玩具時,不能侷限於狹義的玩具,而應該從孩子的視角出發思考,孩子們會將什麼東西當作玩具,這類玩具在什麼情況下是存在安全隱患的,這樣才能最大程度地將“急診玩具”拒之門外,保護孩子們的安全。
(兒科 萬露露 )
