66歲,看上去已經不小了,很多人已經退休了,開始了自己的退休生活。
但是同樣有相當一部分人被疾病困擾。
最近翻了一下中國卒中報告裡面就提到了,統計一下我國目前的腦卒中住院患者,平均年齡是65歲。
什麼意思呢?
也就是說,如果你到了66歲,沒有出現腦出血或者腦梗死,你已經打敗了相當一部分同齡人了。
可以說,已經及格了。
關於卒中,其實有很多人並不瞭解,但是一說到腦出血和腦梗死,大家也都略知一二。
可是,我們為什麼要預防腦卒中呢?又該怎樣做呢?
今天我們就來一起了解一下關於腦卒中的知識吧。
一、1300萬。
1300萬是什麼概念呢?
以我生活的黑龍江省為例,根據第7次全國人口普查的報告顯示是黑龍江省的,總常住人口是3,185萬人。
而哈爾濱的總人口已經達到了1,000萬人,在這茫茫人海當中,生活在這裡,感覺整個城市人非常多。
可是要知道在我們國家出現腦卒中之後,仍然帶病生存的人已經達到了1300萬,這可比哈爾濱市常住人口還要多。
其實,腦卒中的患者人數是很多的。
很多人出現卒中後仍然需要帶病生存,這些人的生活質量因為疾病影響而下降。
所以無論是對個人家庭還是社會都帶來了很大的負擔。
另外,還有很多人出現腦卒中之後並沒有生存下來,而是不幸死亡。
其實在所有的死亡居民當中,22.3%是因為腦卒中而導致的,這再次說明腦卒中的危害是很大的。
無論是致死率還是致殘率,腦卒中給我們帶來的只有步步緊逼。
很多人對腦卒中並不是很瞭解,其實說到他的另一個名詞,你可能就有感覺了,那就是腦血管意外。
很多急性的腦血管疾病會引起腦功能障礙,這些都是腦卒中的範疇,在臨床當中這種疾病是經常發生的。
而且發病率非常高,死亡率和致殘率上面也提到了,也是很高的。
很多患者突然出現一側肢體沒有力量笨拙,感覺到非常麻木沉重,其實這都是腦卒中的常見表現。
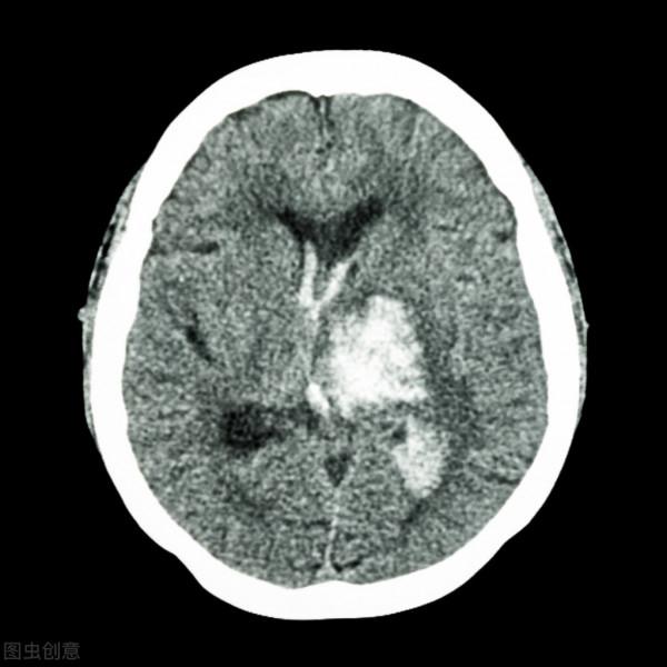
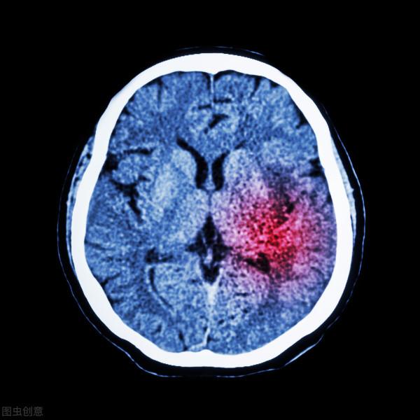
腦卒中包括很多種,比如腦出血、腦血栓形成和腦栓塞,其實這些都屬於腦卒中。
曾有學者統計過,在需要住院的急性缺血性腦卒中患者當中,一個月之後的死亡率可以達到2.3%~3.2%,而三個月之後死亡率會更多達到9%~9.6%。
而腦出血的發病更為兇險,有研究表明三個月內腦出血的死亡率甚至可以達到20%~30%。
這麼看來腦卒中的危害是很大的,但是真的沒有方法避免嗎?
二、腦卒中最喜歡5類人。
跟其他疾病一樣,腦卒中可不是隨機出現的,而是挑患者的。
有5類人群,是腦卒中潛在人群。
希望大家好好重視,如果有這些問題一定要及時注意重視起來。
- 1.吸菸。
你抽菸嗎?或者你身邊的人有抽菸的嗎?
吸菸和腦卒中的關係是很大的,其實在我們國家吸菸的人很多,早在2013年的調查資料中就提到了,我國吸菸人數可以達到25.2%。
但是由於吸菸,很多人的血管都不太理想,很容易出現腦出血或者梗死。
如果可以有效戒菸,那麼就會明顯地降低腦卒中的發病率,並且對腦卒中的預後,甚至是復發都有很大的改善。
- 2.肥胖和超重。
弱弱地問一句,你的體重怎麼樣?是不是考慮過要減肥?
其實已經有很多研究,涉及了體重和腦卒中的關係,無論是超重還是肥胖,都會增加腦卒中的發病風險。
身體質量指數每增加5個單位,那麼腦卒中的發病風險就會增加10%。
- 3.高血壓病。
你的血壓控制得怎麼樣?
其實在諸多危險因素當中,高血壓一直是腦血管疾病最常見的危險因素。
當然即使是在全球範圍內,過早死亡的主要原因,也都是高血壓導致的。
在2016年,就有學者提出過類似的研究,結果隨著年齡的增長,高血壓患者人數會逐漸地增多。
在35~39歲年齡段裡,高血壓的發病率是12.6%。
而到了70~74歲這個年齡段,高血壓的人數就會大大增加,甚至達到了58.4%。
而高血壓的知曉率,甚至是控制率都不太理想。
希望大家可以更加重視血壓問題。
- 4.血脂。
要知道動脈粥樣硬化,在發生發展過程中最重要的危險因素就是血脂。
甚至有很多學者也認為在卒中的重要獨立危險因素當中,血脂異常也很危險。
在2013年,我們國家高膽固醇血癥造成了數10萬人的死亡,佔總死亡人數的3.3%。
要知道單個因素造成這麼高的死亡率,其實是很嚴峻的。
而且不但成年人要注意很多青少年,甚至是兒童也應該積極地防治血脂異常。
在一項涉及7個省份,6~17歲人群的調查顯示在這些人當中,高膽固醇血癥的發生率甚至已經達到了15.7%。
- 5.糖尿病。
糖尿病人數多嗎?當然很多在影像研究中顯示,我們國家成年人中糖尿病患病總人數已經達到了1.144億人。
而且在這些人當中,超過65歲的已經達到了3,410萬人。
可是極為可怕的是,超過一半的患者並不瞭解自己的情況,根本就不知道自己有糖尿病。
而血糖控制得不好,血管損傷也非常容易出現,這就導致了腦卒中的發病率增高。
三、腦卒中,預防是關鍵。
接著回到上面的話題,其實如果活到了66歲,還沒有因為腦卒中而住院,那麼恭喜你,你已經達到了及格線。
在這裡需要強調一個問題,腦梗死的人多,還是腦出血的人多呢?
其實在這些需要住院的患者當中,有81.9%是因為腦梗死需要住院,而腦出血患者僅為14.9%。
另外並不是成年人才會出現腦卒中,現在越來越多的孩子也有可能發生腦卒中。
在所有患者當中,兒童腦梗死患者也達到了0.1%。
這其實說明了一個問題,其實所有人都有腦卒中的風險,重要的就是看我們該怎麼預防。
給您3點建議,說不定真的可以幫到您。
- 1.注意飲食。
這可能是老生常談了,很多人都提過這樣的建議,少吃糖少吃鹽。
控制好高血壓和糖尿病,其實你已經成功了一半。
- 2.吸菸喝酒,還是算了吧。
無論是自己還是身邊的人,都儘量減少吸菸和飲酒,甚至建議您做到戒菸戒酒。
當然有很多人覺得吸菸飲酒有自身的好處,拒絕戒菸戒酒,但是要知道任何事情都是雙刃劍,在這件事情上,菸酒對人體的危害可能比益處更大。
- 3.體育鍛煉。
你有多久沒有外出運動鍛鍊身體了?
其實如果積極地進行體育活動鍛鍊身體,疾病也會慢慢離開我們,可是有太多的人喜歡待在家裡,不喜歡外出活動。
俗話說得好,飯後百步走活到99,其實百步走和99關係並不絕對,沒有必要吹毛求疵。
只要每天活動30分鐘,就能讓你活得更久一些,哪怕是外出走一走都比坐在椅子上看電視好。
總結。
腦卒中離我們還遠嗎?
答案是否定的,腦卒中離我們其實很近。
相信你身邊一定有腦卒中的患者。
而且根據最新的資料報告顯示,我國總體腦卒中的終身發病風險,甚至已經達到了39.9%。
什麼意思呢?
根據目前的資料,每5個人中就有兩個人會出現腦卒中,甚至很多人因為腦卒中而死亡。
我們應該更加重視腦卒中的問題,積極預防,千萬不要等待。
千萬不要等到腦卒中已經出現了,才追悔莫及,後悔沒改掉自己的那些壞習慣。
參考文獻
[1].《中國腦卒中防治報告2019》概要[J].中國腦血管病雜誌,2020,17(05):272-281.
[2]衛文.腦卒中防治開出“中國處方”[J].家庭醫學,2017(04):32.
一碗牛肉湯放倒11個人,難道又是細菌感染嗎?醫生:沒那麼簡單
抗疫人員加班熬夜,胖了十幾斤?睡眠不足的危害,比想象的更嚴重
科普丨80%的跑步者會出現的5個問題,我有3個,你有幾個?
同時具備以下幾點,保證肺癌的機率比別人高几百倍
